MEDizzy
MEDizzy
s
s_magneticworldalmost 8 years ago
MEDizzy

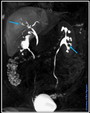
Liver Spesifict Contrast Agent Primovist/Eovist @ Siemens 3T Prisma Dual elimination approx. 50% renal system and 50% hepatobiliary system.#Siemens_MRI #siemens #mri #primovist #gadolinium

0
Other commentsSign in to post comments. You don't have an account? Sign up now!

Recent MCQs















Show more MCQs

Recent flashcard sets















Show more flashcards