
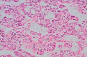
An 18-year-old sexually active woman has had dyspareunia followed by vaginal bleeding for the past month. On pelvic examination, a red, friable, 2.5-cm nodular mass is seen on the anterior wall of the upper third of the vagina. The microscopic appearance of a biopsy specimen is shown in the figure. Which of the following conditions is likely to have contributed most to the origin of this neoplasm? A. Congenital adrenal hyperplasia B. Diethylstilbestrol (DES) exposure C. Human papillomavirus infection D. Polycystic ovary syndrome (PCOS) E. Trichomonas vaginitis The microscopic appearance is that of a malignant tumor containing cells with a clear cytoplasm. Vaginal clear cell carcinomas are associated with exposure of the patient’s mother to diethylstilbestrol (DES) during pregnancy. Vaginal adenosis: Bengin remnants of müllerian glands. Precursor lesion for clear cell carcinoma. It is a benign abnormality in the vagina, commonly thought to be caused by intrauterine and neonatal exposure of diethylstilbestrol and other progestagens and nonsteroidal estrogens, however it has also been observed in otherwise healthy women and has been considered at times idiopathic or congenital.