MEDizzy
MEDizzy
MRI Technologist
MRI Technologistalmost 8 years ago
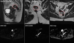
Colon adenocarcinoma

Colon adenocarcinoma

High resolution, multiparametric (anatomical and functional) MR Imaging of a colon adenocarcinoma. DWI provides information about tissue microarchitecture and can show the most aggressive regions of the tumour. Images courtesy of Christos Tsiotsios.

17
Other commentsSign in to post comments. You don't have an account? Sign up now!

Recent MCQs















Show more MCQs

Recent flashcard sets















Show more flashcards