MEDizzy
MEDizzy
MRI Technologist
MRI Technologistalmost 9 years ago
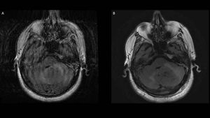
Cartesian 2D T2-w FLAIR (A) and non-Cartesian (PROPELLER) 2D T2-w FLAIR (B)

Cartesian 2D T2-w FLAIR (A) and non-Cartesian (PROPELLER) 2D T2-w FLAIR (B)

Cartesian acquisition suffers from severe motion artifacts, while non-Cartesian acquisition easily highlights the cerebellum tumour, offering diagnostic imaging. Images courtesy of Christos Tsiotsios.

0
Other commentsSign in to post comments. You don't have an account? Sign up now!

Recent MCQs















Show more MCQs

Recent flashcard sets















Show more flashcards