
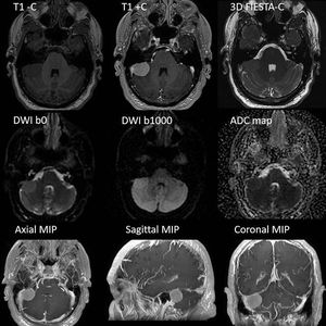
High resolution meningioma MR Imaging, based on anatomical and functional acquisitions. DWI PROPELLER makes feasible the DW Imaging of inhomogeneous areas, such as IAC, without distortions. Thin MIP of the volumetric T1 acquisition can be used for the (time-effective) evaluation of vessels proximity. Images courtesy of Christos Tsiotsios