MEDizzy
MEDizzy
MRI Technologist
MRI Technologistalmost 9 years ago
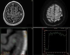
Multiparametric brain MR Imaging for meningioma evaluation

Multiparametric brain MR Imaging for meningioma evaluation

Multiparametric brain MR Imaging for meningioma evaluation. High resolution anatomical sequences, DWI with b0, b500, b1000 and ADC map, and DCE PWI were obtained. Images courtesy of Christos Tsiotsios.

0
Other commentsSign in to post comments. You don't have an account? Sign up now!

Recent MCQs















Show more MCQs

Recent flashcard sets















Show more flashcards