
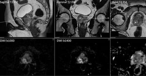
Multiparametric MR Imaging of the prostate gland, based on high-resolution anatomical T2-w FSE acquisitions in three imaging planes, DWI with b50 (not shown here), b1000, b1400 and ADC map and DCE PWI (not shown here). DWI can clearly demonstrates the pathology with high sensitivity. Patient will undergo U/S guided biopsy. Images courtesy of Christos Tsiotsios.