MEDizzy
MEDizzy
MRI Technologist
MRI Technologistalmost 9 years ago
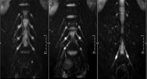
Diffusion-Weighted MR Neurography in a healthy volunteer

Diffusion-Weighted MR Neurography in a healthy volunteer

DWI provides great image contrast between the peripheral nerves and the adjacent tissue such as vessels and muscles.

0
Other commentsSign in to post comments. You don't have an account? Sign up now!

Recent MCQs















Show more MCQs

Recent flashcard sets















Show more flashcards