
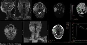
High resolution anatomical imaging (T2-w FSE in sagittal and coronal plane, T2-w IDEAL in axial plane and 3D LAVA-Flex in axial and coronal plane after Gd administration), DWI b800, ADC map and DCE PWI are shown here. Low ADC value and high perfusion (early wash-in and wash-out) should be noted. #MRI #mpMRI #radiology #head_neck #perfusion #diffusion #Gd #MRI_Technologist #MRITechnologist #MRI_Radiographer