
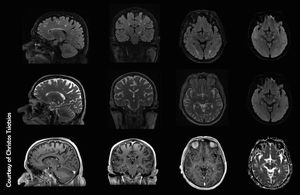
High-resolution, multiparametric MR Imaging of brain metastasis (typical ring enhancing lesion), based on volumetric acquisitions (3D T2, 3D T2 FLAIR & 3D T1 post contrast are shown here) and SS-EPI DWI with b0 (not shown here), b500, b1000 and ADC map