
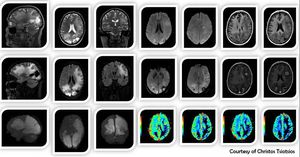
High-resolution, multiparametric (anatomical, functional  quantitative) MR Imaging of glioblastoma multiforme, based on volumetric acquisitions (3D T2, 3D T2 FLAIR, 3D T1 pre  post contrast, 3D SWI), SS-EPI DWI, DSC PWI and 3D MIP of the volumetric FLAIR for quantification purposes.