
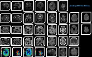
High-resolution, multiparametric (anatomical, functional quantitative) MR Imaging of brain metastases, based on volumetric acquisitions (3D T2, 3D T2 FLAIR, 3D T1 pre post contrast, 3D SWI), DWI, PWI and advanced image post-processing in order to aid the diagnosis.