
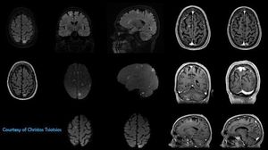
Figure shows a patient with multiple brain metastases. High resolution MR imaging based on 3D T2 FLAIR with fat-suppression, 3D T1 FSPGR, 2D axial FLAIR and axial DWI (b0, b500, b1000). Moreover, 3D MIPs of the volumetric T2 FLAIR, for segmentation and volumetric calculation of the metastatic lesions, are shown.