MEDizzy
MEDizzy
MRI Technologist
MRI Technologistalmost 9 years ago
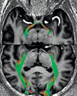
Selective tractography of the optic tract.

Selective tractography of the optic tract.

Selective tractography of the optic tract and the optic radiation using high resolution DTI fused with axial MPRAGE. Image dataset was acquired at 7 Tesla, Siemens Magnetom Terra.

0
Other commentsSign in to post comments. You don't have an account? Sign up now!

Recent MCQs















Show more MCQs

Recent flashcard sets















Show more flashcards