
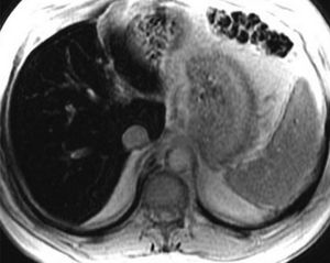
GRE T2*-weighted MR imaging performed in a dedicated study to investigate iron overload. Axial image of a patient with severe iron overload demonstrates accentuated decrease in the liver signal intensity because of the increased R2* (1/T2*) (Queiroz-Andrade et al 2009).