
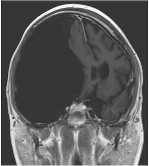
Magnetic resonance imaging of the brain revealed an arachnoid cyst, measuring 12.3 cm by 16.5 cm by 7.9 cm, with mass effect on the right cerebral hemisphere; the cyst was causing displacement of the temporal lobe superiorly and posteriorly and a shift of midline structures