
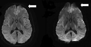
(left) High rBW = 250kHz, (right) Low rBW = 62 kHz; both at 3T field strength. Distortion is highly reduced using high bandwidth. The unit of the receiver bandwidth can change between vendors, as peak to peak or Hz/pixel, and lead to mistakes if protocol parameters are copied without proper adjustment (de Figueiredo et al 2011).