Feed
Library
Learning
Discuss
Leaderboard
Journal
Sign in
Login
Sign up
Sign in
Feed
Library
Learning
Discuss
Leaderboard
Journal
MRI Technologist
almost 9 years ago
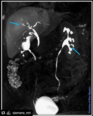
Liver Spesifict Contrast Agent Primovist/Eovist
Dual elimination approx. 50% renal system and 50% hepatobiliary system.
Mri
Gadolinium
Repost
Primovist
0
0
0
Other comments
Sign in
to post comments. You don't have an account?
Sign up now!
Related posts
MRI Sequences
How to Read MRI I
How to Read MRI II
How to Read MRI III
How to Read MRI IV
How to Read MRI V
How to Read MRI VII
How to Read MRI VIII
How to Read MRI IX
How to Read MRI X
Recent MCQs
Show more MCQs
Recent flashcard sets
Show more flashcards
Feed
Learn
Add
Search
Discuss