Feed
Library
Learning
Discuss
Leaderboard
Journal
Sign in
Login
Sign up
Sign in
Feed
Library
Learning
Discuss
Leaderboard
Journal
MRI Technologist
10 months ago
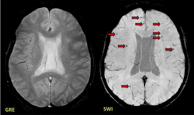
Post-traumatic brain injury showing many more axonal microhemorrhages (arrows) on SWI than on GRE
Mri
Mri Technologist
Swi
19
0
4
Other comments
Sign in
to post comments. You don't have an account?
Sign up now!
Related posts
MRI Sequences
How to Read MRI I
How to Read MRI II
How to Read MRI III
How to Read MRI IV
How to Read MRI V
How to Read MRI VII
How to Read MRI VIII
How to Read MRI IX
How to Read MRI X
Recent MCQs
Show more MCQs
Recent flashcard sets
Show more flashcards
Feed
Learn
Add
Search
Discuss