
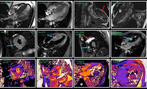
MRI conditional pacemaker / cardiac imaging. Siemens AERA, 1.5 Tesla. Even though these pacemakers can be scanned, it doesn’t mean we get images without artifacts. Should we say no to all these patients due to artifacts and suboptimal images? Answer should be no. Patient with a cardiac tumor where we utilize standard sequences like cine truefisp (looks awful due to artifacts, red arrow). STIR, T1 mapping pre Gd along with T1 mapping post Gd and LGE gave us the answer to the question for this patient (blue arrow). It’s not always about the perfect images, but about answering the clinical questions. Images courtesy of Bac Nguyen.