
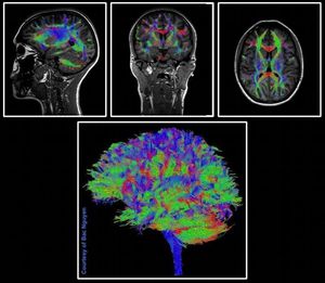
Simultaneous Multi-Slice (SMS) speeds up imaging significantly through the simultaneous excitation and readout of multiple slices. Simultaneous Multi-Slice Diffusion bring advanced neuro applications into clinical routine – offering various advantages. For diffusion-weighted imaging, slice acceleration can be used to reduce scan time and/or achieve higher spatial/diffusion resolution. Diffusion Tensor Imaging (DTI) obtained with 1.5mm isotropic voxel size, b0 and b1000, 64 directions, within approximately 6min. GRAPPA 2 and Slice Acceleration 2 were used. Siemens Prisma 3 Tesla. Images courtesy of Bac Nguyen. #MRI #SMS #DWI #diffusion