MEDizzy
MEDizzy
MRI Technologist
MRI Technologistalmost 9 years ago

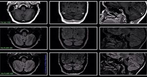
Contrast-enhanced 3D SPACE FLAIR imaging seems to improve detection of leptomeningeal disease when compared with contrast-enhanced 3D T1-w SPACE imaging. Images courtesy of Bac Nguyen.

0
Other commentsSign in to post comments. You don't have an account? Sign up now!

Recent MCQs















Show more MCQs

Recent flashcard sets















Show more flashcards