MEDizzy
MEDizzy
MRI Technologist
MRI Technologistalmost 9 years ago

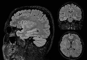
CUBE/SPACE/VISTA are 3D fast/turbo spin echo (FSE/TSE) sequences optimized for half Fourier parallel imaging with long echo trains, low flip angles and low specific absorption rates (SAR). Figure Isotropic T2-FLAIR-CUBE brain images.

0
Other commentsSign in to post comments. You don't have an account? Sign up now!

Recent MCQs















Show more MCQs

Recent flashcard sets















Show more flashcards