
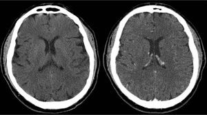
Regarding a conversation on Facebook: 1) Iodine contrast is not visible on MRI. 2) High-dose Gadolinium contrast may be visible on CT. Fig High-dose Gd seen on CT. On left, noncontrast head image. On right CT obtained after intravenous administration of 60 cc of gadopentetate dimeglumine (Magnevist) shows weak enhancement of choroid plexus and vessels. https://lnkd.in/dPhTMdK So, if a patient needs a CT with contrast and a MRI with contrast, CT examination should be done first.