MEDizzy
MEDizzy
MRI Technologist
MRI Technologistalmost 9 years ago

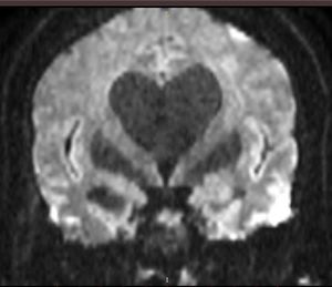
MRI and DWI love. MRI of hydrocephalus based on 2mm isotropic DWI reformatted in coronal plane. Shared by Anastasios Karatopis.

0
Other commentsSign in to post comments. You don't have an account? Sign up now!

Recent MCQs















Show more MCQs

Recent flashcard sets















Show more flashcards