MEDizzy
MEDizzy
MRI Technologist
MRI Technologistalmost 9 years ago

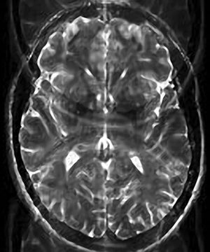
T2-w Single-Shot Echo Planar Imaging (SS-EPI) sequence. Nyquist (N/2) ghost or "three brains" artifact.

0
Other commentsSign in to post comments. You don't have an account? Sign up now!

Recent MCQs















Show more MCQs

Recent flashcard sets















Show more flashcards