
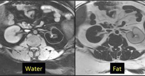
Although generally better than CHESS/Fat-Sat sequences, modern Dixon methods still have their limitations, particularly in highly inhomogeneous areas like the neck and around metal hardware. A curious artifact occasionally occurs wherein the mathematical computations will converge to the wrong substance, producing a fat-only image when a water-only image is desired. An interesting example of this so-called "fat-water swap" is shown below. Fig. Failure of local convergence in IDEAL sequence with fat-water swap. The normal left kidney has been mistakenly identified as composed of fat rather than water.