
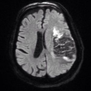
T2 blackout effect is a diffusion weighted imaging (DWI) phenomenon, representing the reverse of T2 shine through. In T2-blackout effect, lesions with very short T2 (and/or T2*) values reduce signal intensity in the DW image, potentially masking or destroying its diffusion sensitivity. In extreme cases even the ADC map calculation will be affected and unreliable. Image shared by @radiopaedia