Feed
Library
Learning
Discuss
Leaderboard
Journal
Sign in
Login
Sign up
Sign in
Feed
Library
Learning
Discuss
Leaderboard
Journal
MRI Technologist
almost 9 years ago
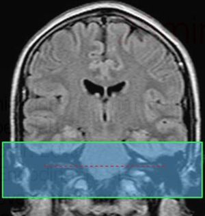
Slice prescription boundaries and orientation for axial imaging of the IAC
Angle the position block parallel to the line along right and left IAC (internal acoustic canal).
Mri
Mri Basics
Mri Planning
0
0
0
Other comments
Sign in
to post comments. You don't have an account?
Sign up now!
Related posts
MRI Sequences
How to Read MRI I
How to Read MRI II
How to Read MRI III
How to Read MRI IV
How to Read MRI V
How to Read MRI VII
How to Read MRI VIII
How to Read MRI IX
How to Read MRI X
Recent MCQs
Show more MCQs
Recent flashcard sets
Show more flashcards
Feed
Learn
Add
Search
Discuss