
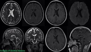
For certain patients that undergo magnetic resonance (MR) examinations, the experience may be associated with emotional distress. In these cases, we need to use rapid imaging protocols. Figure shows a fast protocol for the imaging of the brain in a sedated patient with claustrophobia. Upper row (from left to right): T2-w ax, T2-w FLAIR ax, T1-w ax, DWI (b1000). Bottom row (from left to right): T2-w sag, T2-w cor, T1-w ax (post Gd), T1-w sag (post Gd). Total imaging time less than 14 minutes for 9 sequences (T1-w cor post-Gd is not shown). Images courtesy of @tsiochris