
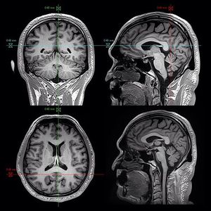
The three-dimensional magnetization-prepared rapid gradient echo (MP-RAGE) sequence is one of the most popular sequences for high-resolution whole brain T1-weighted imaging, with enhanced gray-white matter contrast. The sequence combines the power of magnetization-prepared imaging and rapid 3-D gradient echo acquisition techniques to provide excellent tissue contrasts, high spatial resolution, and full brain coverage in a short scan time. Images acquired with the sequence have been widely used for classifying brain tissues in voxel-based morphometry, detecting pathological changes of the brain, estimating regional brain volume abnormalities associated with brain functions, assessing brain development, and evaluating treatment or therapeutic responses.