
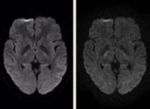
b-value is a parameter that reflects the strength and timing of the gradients used to generate diffusion-weighted images. The higher the b-value, the stronger the diffusion effects. The "optimal" choice of b-value is not clearly defined and depends upon field strength, available RF coils and gradients, number of signals averaged, anatomical features and predicted pathology. Two brain images using b-values of 1000 (left) and 2000 (right) s/mm² below show progressively more diffusion weighting (as evidenced by the brighter corticospinal tracts) but also less SNR.