
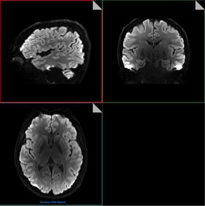
Simultaneous Multi-Slice (SMS) speeds up imaging significantly through the simultaneous excitation and readout of multiple slices, helping cut neuro DWI scan times by as much as 68%. Figure 1.2mm isotropic DWI b1000 (90slices) acquired in axial plane. MPR in sagittal and coronal plane. Images courtesy of Nguyen Bac.