
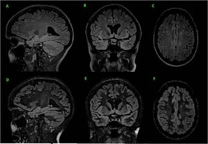
Fig 3D sagittal FLAIR (A) and multiplanar reconstruction in coronal (B) and axial (C) plane. 3D sagittal DIR (D) and multiplanar reconstruction in coronal (E) and axial (F) plane. 3D DIR provides higher sensitivity, therefore the MS lesions are better highlighted. Nonetheless, 3D DIR is acquired with lower spatial resolution and was more time consuming than 3D FLAIR.