
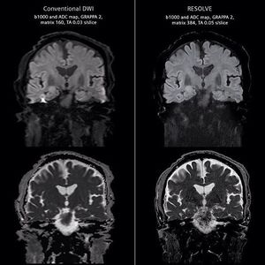
RESOLVE is a revolutionary new approach for obtaining high-quality, high-resolution DW images even in body regions strongly affected by susceptibility artifacts (figure). It reduces the distortions and delivers sharp imaging at higher spatial resolution.