MEDizzy
MEDizzy
MRI Technologist
MRI Technologistalmost 9 years ago

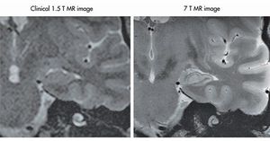
Comparison of a medium and an ultra-high field MRI system. 7.0 Tesla MRI system provides high quality imaging of the hippocampus.

0
Other commentsSign in to post comments. You don't have an account? Sign up now!

Recent MCQs















Show more MCQs

Recent flashcard sets















Show more flashcards