MEDizzy
MEDizzy
MRI Technologist
MRI Technologistalmost 9 years ago

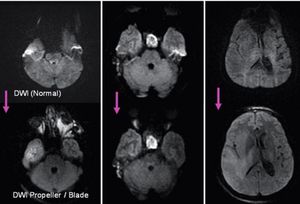
Due to susceptibility issues SS-EPI DWI in specific body parts (e.g. skull base, IAC) used to be difficult. DWI Propeller provides significantly increased image quality in the area of interest with reduced image distortions.

0
Other commentsSign in to post comments. You don't have an account? Sign up now!

Recent MCQs















Show more MCQs

Recent flashcard sets















Show more flashcards