
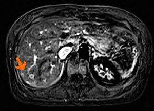
CAIPIRINHA-Dixon-TWIST (CDT) Volume-Interpolated Breath-Hold Examination (VIBE) is a new MR technique for fast Time-Resolved dynamic 3-Dimensional (3D) Imaging of the abdomen with high spatial resolution. The technique seems suitable for the detection and characterization of focal abdominal lesions such as liver and pancreatic masses. For the feature of metastasis, CDT-VIBE not only provides the ring-like enhancement pattern, but also clearly shows the feeding vessel of the lesion. Figure: Feeding vessel of the lesion is visualized in the 3D subtracted arterial phase images (Wang et al., 2014).