MEDizzy
MEDizzy
MRI Technologist
MRI Technologistalmost 9 years ago

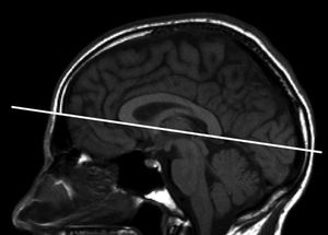
Orientation of axial oblique sequences for MR imaging of the brain. Orientation of axial oblique sequences should be along the subcallosal line as indicated by the solid line.

0
Other commentsSign in to post comments. You don't have an account? Sign up now!

Recent MCQs















Show more MCQs

Recent flashcard sets















Show more flashcards