
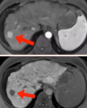
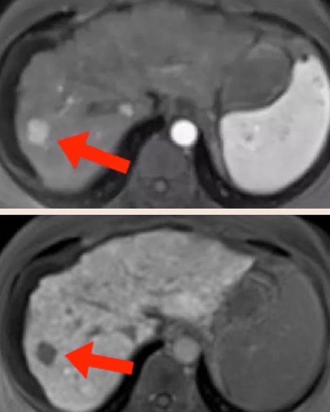
Eovist/Primovist is a gadolinium-based MR contrast agent manufactured by Bayer HealthCare designed for liver imaging. After intravenous injection the drug initially distributes into the vascular and extracellular spaces in a manner similar to other gadolinium agents. Shortly thereafter up to half of the administered dose progressively accumulates in hepatocytes and then is excreted into the biliary tract. The remainder is excreted by the kidneys through glomerular filtration. Eovist thus has double distribution and elimination pathways, allowing it to be used to assess both vascularity and function of liver lesions. Breath-hold imaging is performed with a rapid 3D T1-weighted gradient echo sequence such as LAVA, VIBE, THRIVE or CAIPIRINA using parallel imaging acceleration. At least three sets of dynamic breath-hold images are usually acquired: 1) a late arterial phase at approximately 15 seconds after contrast arrives in the abdominal aorta; 2) a portal venous phase 15-30 seconds later; and 3) a late dynamic phase 2-3 minutes thereafter. Finally, a fourth set of images in the hepatobiliary phase is acquired 15-20 minutes after injection (in patients with normal hepatic function). Hepatic enhancement generally persists for at least 2 hours following injection allowing a relatively large window for imaging. Figure: Late arterial phase (upper image) shows hypervascular metastasis in right lobe of liver (arrow). Note enhancement of aorta and spleen. Hepatocyte phase (down image) shows no uptake in this metastatic lesion (arrow).