MEDizzy
MEDizzy
MRI Technologist
MRI Technologistalmost 9 years ago

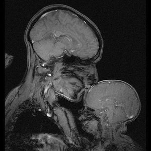
When MRI captures the love between a mother and a child! An image acquired by Rebecca Saxe and Atsushi Takahashi at the Massachusetts Institute of Technology (MIT).

0
Other commentsSign in to post comments. You don't have an account? Sign up now!

Recent MCQs















Show more MCQs

Recent flashcard sets















Show more flashcards