
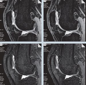
Sagittal water selective 3D DESS imaging of the knee (TR/TE 14.1/5 ms) at various flip angles (1A = 25°, 1B = 45°, 1C = 60°, 1D = 90°). With the flip angle of 60° there is highest signal intensity of synovial fluid with highest contrast-to-noise ratio of the cartilage (Thakkar et. al, 2011).