MEDizzy
MEDizzy
MRI Technologist
MRI Technologistalmost 9 years ago
MEDizzy

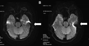
Importance of phase direction selection on #DWI: Phase direction (A) AP and (B) RL. (A) is more symmetric. Both images were acquired at 3 T field strength. #MRI

0
Other commentsSign in to post comments. You don't have an account? Sign up now!

Recent MCQs















Show more MCQs

Recent flashcard sets















Show more flashcards