MEDizzy
MEDizzy
MRI Technologist
MRI Technologistalmost 9 years ago
MEDizzy

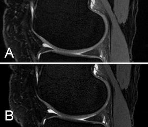
(A) 3D DESS with FA 25° and (B) 3D DESS with FA 90°. Cartilage-synovial fluid CNR is higher with 90° FA. Nevertheless, there are SAR issues with high FA. #MRI #3D_DESS #MRI_of_cartilage

0
Other commentsSign in to post comments. You don't have an account? Sign up now!

Recent MCQs















Show more MCQs

Recent flashcard sets















Show more flashcards