MEDizzy
MEDizzy
MRI Technologist
MRI Technologistalmost 9 years ago
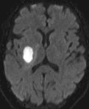
Cerebral abscess

Cerebral abscess

#DWI has proved useful in distinguishing abscesses from necrotic tumors, resolving hematomas and other fluid-filled cavities.

1
Other commentsSign in to post comments. You don't have an account? Sign up now!

Recent MCQs















Show more MCQs

Recent flashcard sets















Show more flashcards