MEDizzy
MEDizzy
Swapneel Birajdar
Swapneel Birajdarabout 6 years ago
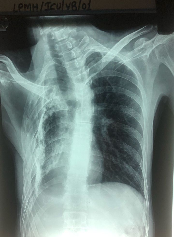
Dignosis...?

Dignosis...?

546
Top rated comment
about 6 years ago

Scoliosis

Other commentsSign in to post comments. You don't have an account? Sign up now!
about 6 years ago

Scoliosis?🤔

about 6 years ago

Clavico sternal fracture

about 6 years ago

Scoliosis

about 6 years ago

Tuberculosis osteomyelitis (gibbus)

about 6 years ago

Scoliosis

about 6 years ago

Why the lung on one side appears to be flattened?

about 6 years ago

Scoliosis

about 6 years ago

How it is scoliosis???

Recent MCQs

‌
‌

‌
‌

‌
‌

‌
‌

‌
‌
Show more MCQs

Recent flashcard sets

‌
‌

‌
‌

‌
‌

‌
‌

‌
‌
Show more flashcards