
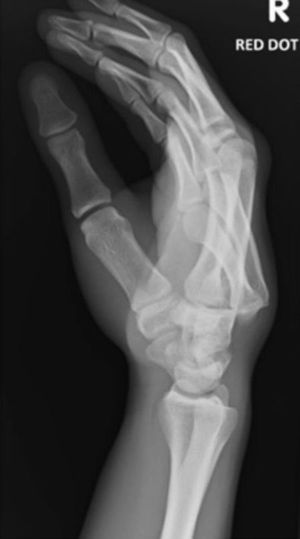
3rd and 4 th carpometacarpel joint dislocation
Lateral x-ray of the right hand. Dislocation of the 2nd and 3rd metacarpal? Closed fracture? Soft tissue in the X-ray shows some swelling to the dorsum part of the RT hand
Marker on the far upper right indicates it’s the RT hand. I agree with the metacarpal
X ray of left hand shows third and fourth metacarpel dislocation.....