Feed
Library
Learning
Discuss
Leaderboard
Journal
Sign in
Login
Sign up
Sign in
Feed
Library
Learning
Discuss
Leaderboard
Journal
Medvision
over 2 years ago
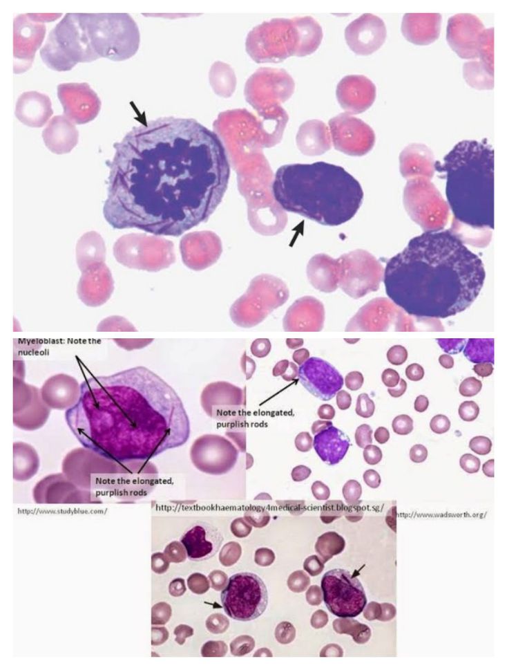
Auer rods seen in myeloblastic leukemia. Presence of Auer rods differentiate myeloblastic leukemia from lymphoblastic leukemia.
Medical
Pathology
Student
Leukemia
10
0
5
Other comments
Sign in
to post comments. You don't have an account?
Sign up now!
Related posts
Hyperparathyroidism
Hyperparathyroidism
Pagets disease
Paget’s disease.
Haemophilia
Periapical Pathologies
Hemangioma
Erythroplakia
Pulsar Vexline Review 2026 - Legit Or Scam Trading Platform? Fact Check
BurnSlim Official | Support Your Weight Management Journey
Recent MCQs
Show more MCQs
Recent flashcard sets
Show more flashcards
Feed
Learn
Add
Search
Discuss