
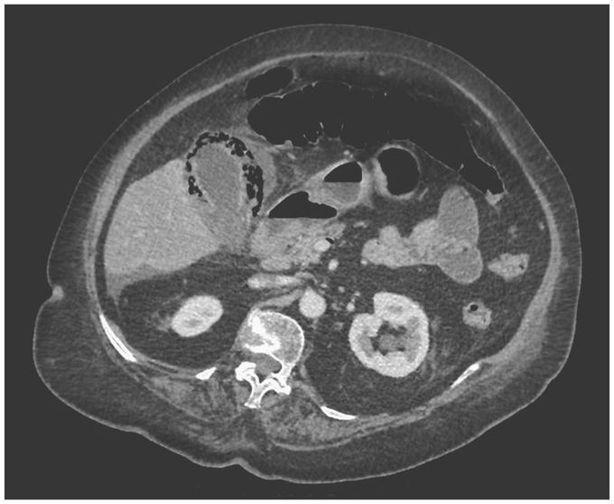
An 80-year-old man with a history of hypertension presented to the emergency department with a 2-day history of abdominal pain in the right upper quadrant. The patient was febrile. On physical examination, he had abdominal tenderness in the right upper quadrant, and Murphy’s sign was positive. Laboratory studies revealed a white-cell count of 20,000 per cubic millimeter (reference range, 4000 to 10,000). The alanine aminotransferase, aspartate aminotransferase, bilirubin, and lipase levels were normal. Findings on computed tomography of the abdomen included the presence of air encircling an inflamed gallbladder, with air tracking along the wall of the superior mesenteric vein, and a diagnosis of emphysematous cholecystitis was made. Intravenous broad-spectrum antibiotic agents were initiated, and a laparoscopic cholecystectomy was performed. A gangrenous and perforated gallbladder, including two gallstones, was resected. Bile cultures grew Escherichia coli and Klebsiella pneumoniae. The patient recovered after the surgery and was treated with a 10-day course of antibiotics. At a follow-up visit 4 weeks after discharge from the hospital, he was doing well and reported no abdominal pain.