Feed
Library
Learning
Discuss
Leaderboard
Journal
Sign in
Login
Sign up
Sign in
Feed
Library
Learning
Discuss
Leaderboard
Journal
Nhende Tendai
almost 2 years ago
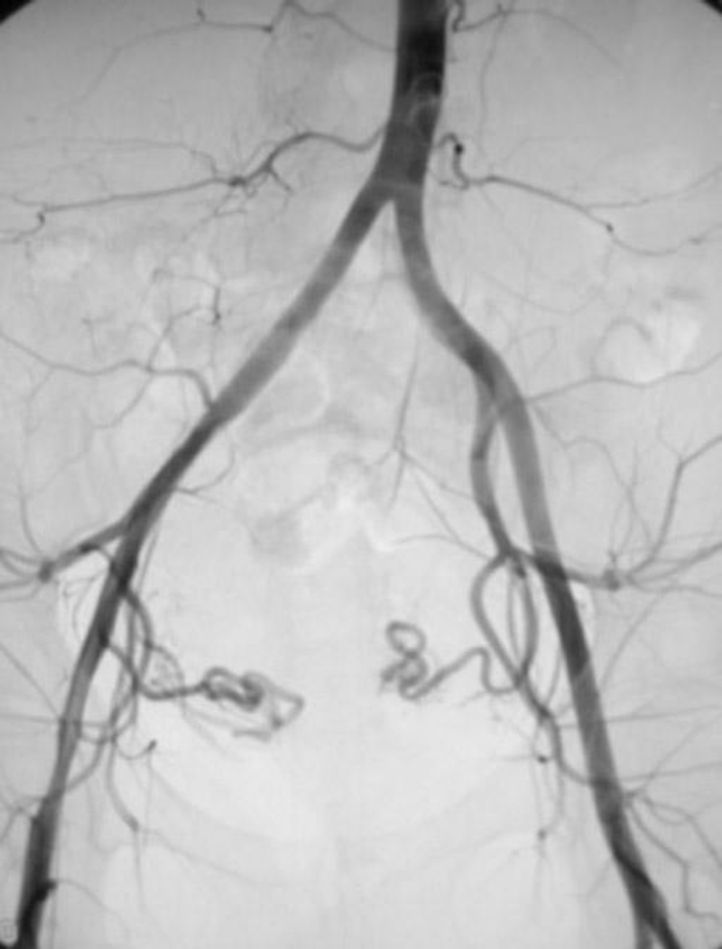
pre UFE (Uterine fibroid embolization) angiogram
Obgyn
Uterine
Fibroid
19
0
8
Other comments
Sign in
to post comments. You don't have an account?
Sign up now!
Related posts
Hydatidiform Mole
Histology- Uterine Tubes
Male Infertility
Dilation Stages of Labour
Normal HSG
CAPTION THISπ
Why we use metronidazole majorly in gynecological cases????
Abnormal Uterine Bleeding
Stages of Uterine Prolapse
If your uterus is mean to you and you know it, clap your hands. π π If your uterus is mean to you and you know it, clap your hands. π π If your uterus is mean to you, and you really wanna show it, if your uterus is mean to you, clap your hands. π π
Recent MCQs
β
β
β
β
β
β
β
β
β
β
Show more MCQs
Recent flashcard sets
β
β
β
β
β
β
β
β
β
β
Show more flashcards
Feed
Learn
Add
Search
Discuss